Conheça nossa moderna clinica e a equipe de especialistas preparada para seu atendimento
Os melhores procedimentos para saúde e estética de seus dentes
Terapias para seu relaxamento, bem-estar e saúde
Atualize-se com nossas dicas e artigos de especialistas da área
Ficaremos felizes em poder lhe atender e esclarecer suas dúvidas
Segunda a Sexta: 08:00 às 21:00
Sábados: 8:00 às 13:00
Domingo: fechado
(11) 3726-6997
(11) 4324-7426
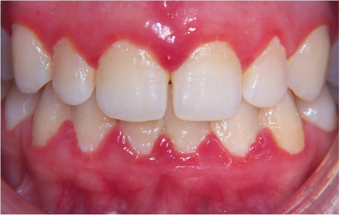
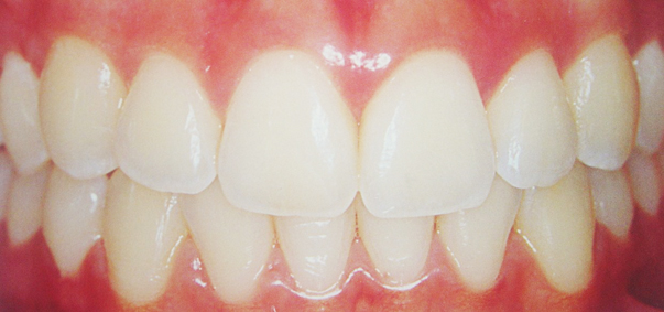
Tratamento da gengiva e dos ossos que sustentam os dentes.
Clique na imagem para ampliar:
IMAI © Copyright - Avenida Corifeu de Azevedo Marques, 1027B • Butantã • São Paulo/SP • CEP: 05581-000 • Tel: (11) 3726-6997 / (11) 4324-7426 • consultorio@imaiodonto.com.br