Blog

  • Prev
  • 1
  • Next

O que você deve saber sobre Clareamento Dental

Calreamento IIO que é Clareamento Dental?

O clareamento é um tratamento realizado pelo cirurgião-dentista para clarear os dentes naturais. Os géis clareadores não agem em coroas (próteses) e restaurações.

 

Quando o clareamento dental é indicado?

O clareamento dental é um tratamento estético que pode ser indicado para as queixas de escurecimento dental. O escurecimento dos dentes pode acontecer pelo uso frequente de produtos e alimentos como: café, chá preto, vinho tinto e também do fumo. Os dentes podem ainda apresentar alterações de cor ou manchas devido a causas genéticas, em consequência de um traumatismo dentário, de um tratamento de canal, do uso de antibióticos como a tetraciclina e seus derivados na fase de formação do dente e de restaurações de amálgama de prata antigas.

 

Condições desfavoráveis para o uso dos agentes clareadores

Algumas condições desfavorecem o clareamento dental como a inflamação gengival, presença de cálculo dental, retrações gengivais, dentes não totalmente erupcionados e a cárie dental.

 

Dentes não totalmente erupcionados

Quando os dentes decíduos (dente de leite) são trocados pelos dentes permanentes, existe um tempo para a total erupção dental. Assim, é comum observarmos jovens com a coroa do dente parcialmente recoberta pela gengiva. O clareamento dental nessa fase geraria manchamento de dente, uma vez que o gel clareador não teria ação sobre a porção recoberta pelo tecido gengival.

 

Retrações gengivais 

Retração Gengival e Sensibilidade

Indivíduos que possuem retrações gengivais podem apresentar quadros de sensibilidade dentária, caracterizando uma possível limitação ao tratamento clareador. Tais retrações acontecem pela escovação traumática e como sequela do tratamento periodontal (tratamento da gengiva).

 

 

 

 

 

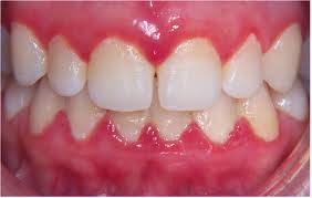
Gengiva InflamadaInflamação Gengival e Cáculo Dental

As doenças periodontais são muito prevalentes na população adulta e devem ser tratadas antes da realização do clareamento dental, evitando alterações gengivais e manchamento dental.

 

 

 

 

 

Cárie Dental

A cárie dental e a presença de restaurações mal adaptadas deverão ser tratadas previamente ao clareamento dental.

 

O que pode ocorrer com o uso indevido dos agentes clareadores, sem a orientação do cirurgião-dentista?

Sensibilidade Dentinária

Devido a:

  • ·         Retrações gengivais
  • ·         Restaurações mal adaptadas
  • ·         Presença de Cárie
  • ·         Áreas dentais desmineralizadas

 

Irritação Gengival

Devido a:

  • ·         Gel clareador em excesso
  • ·         Moldeira mal adaptada

 

Recomendações para o tratamento

A consulta a um cirurgião-dentista é fundamental para uma correta avaliação da necessidade de realilzação de tratametno prévios. De acordo com as características clínicas individuais, o cirurgião-dentista indicará a melhor técnica e a concentração do agente clareador.

Seguindo as recomendações de seu cirurgião-dentista você obterá saúde bucal e um sorriso belo e saudável.

 

 

Fonte: Conselho Regional de Odontologia de São Paulo.

Postado por: TIREOIDE
Categorias :
  • Prev
  • 1
  • Next

IMAI © Copyright - Avenida Corifeu de Azevedo Marques, 1027B Butantã São Paulo/SP CEP: 05581-000 Tel: (11) 3726-6997 / (11) 4324-7426 consultorio@imaiodonto.com.br